Abstract
Background: Ureteric injury is a known complication of gynecological surgeries, particularly following Total Laparoscopic Hysterectomy (TLH). When unrecognized intraoperatively, it may present later as uretero-vaginal fistula, resulting in continuous urinary incontinence and significant morbidity.
Case Presentation: We report the case of a 46-year-old woman who developed continuous urinary incontinence two days after undergoing TLH. Drain showed increased amount of fluid drainage which raised suspicion of urinary leak. Drain fluid analysis showed raised Sr. Creatinine . CT Imaging confirmed a distal left ureteric injury with uretero-vaginal fistula. Initial management with Double-J (DJ) ureteric stenting resulted in temporary improvement; however, symptoms of urinary incontinence with intermittent voiding was observed after stent removal. Definitive management with ureteroneocystostomy was performed, leading to complete resolution of symptoms and preservation of renal function.
Conclusion: Uretero-vaginal fistula is a distressing delayed complication of TLH. While conservative management with ureteric stenting may be attempted in select cases, persistent fistula warrants definitive surgical reconstruction. Early recognition and timely intervention are essential to prevent renal compromise.
Keywords: Ureteric injury, uretero-vaginal fistula, total laparoscopic hysterectomy, ureteroneocystostomy, Double-J stent
________
Introduction
Iatrogenic ureteric injury remains one of the most serious complications of gynecological surgery. The reported incidence ranges from 0.5% to 2%, with a higher frequency observed in laparoscopic hysterectomy compared to abdominal approaches. Factors contributing to injury include distorted pelvic anatomy, endometriosis, large fibroids, prior pelvic surgery, and the use of thermal energy devices.
Injury to the ureter may go unrecognized intraoperatively and present later as flank pain, fever, hydronephrosis, or continuous urinary leakage due to uretero-vaginal fistula. Delayed diagnosis increases morbidity and the risk of renal damage. Management strategies range from endourological stenting to definitive surgical repair, depending on the extent and timing of injury.
We present a case of uretero-vaginal fistula following TLH, initially managed conservatively with DJ stenting but ultimately requiring ureteric reimplantation.
________
Case Presentation
A 46-year-old multiparous woman presented to our department with complaints of continuous watery vaginal discharge for two weeks. She had undergone TLH at a peripheral center.
The immediate postoperative period had been uneventful. However, approximately 2 days after surgery, she noticed persistent watery discharge per vaginum. She reported normal voluntary voiding without dysuria or hematuria. There was no fever or flank pain.
The patient underwent cystoscopic placement of a left-sided Double-J ureteric stent to facilitate internal urinary drainage and promote spontaneous healing of the fistulous tract. Following stent placement, vaginal leakage decreased significantly. She was discharged with Foley's catheter in situ and followed up regularly. The stent was removed after 3 months . After stent removal, the patient again developed continuous urinary incontinence per vaginum with intermittent voiding. Repeat imaging revealed persistent distal ureteric stricture with ongoing fistulous communication.
Clinical Examination
The patient was hemodynamically stable. Abdominal examination revealed healed laparoscopic port-site scars. Speculum examination demonstrated continuous clear fluid pooling in the vaginal vault, suggestive of urinary leakage.
Investigations
Laboratory parameters showed slightly deranged RFT.
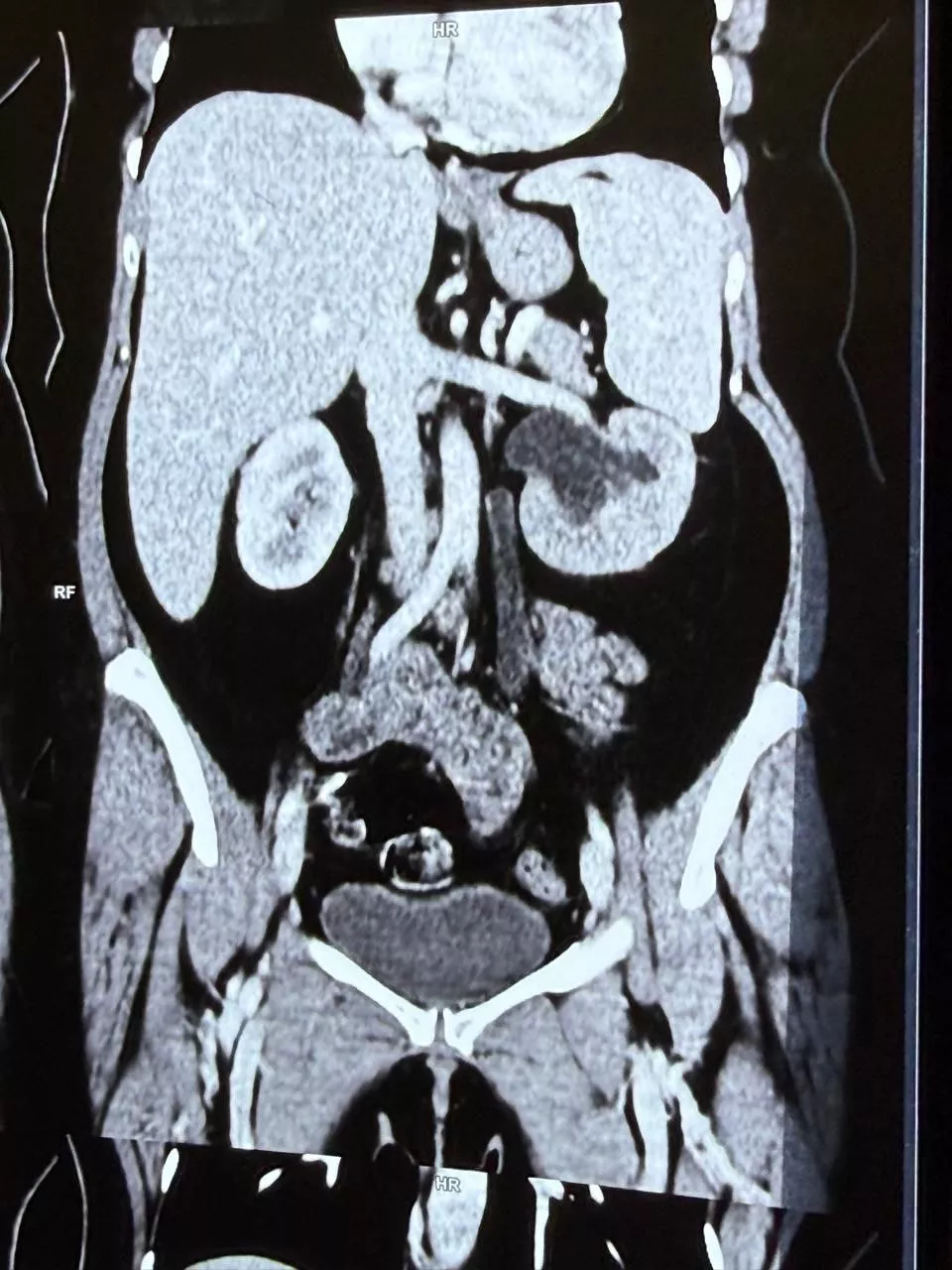
Ultrasonography showed mild left-sided hydroureteronephrosis. Contrast-enhanced CT urography demonstrated contrast extravasation from the distal left ureter into the vaginal vault. Cystoscopy revealed normal bladder mucosa without evidence of vesicovaginal fistula. Retrograde pyelography confirmed distal ureteric injury with uretero-vaginal fistula .
A diagnosis of left-sided uretero-vaginal fistula secondary to iatrogenic ureteric injury was established.






