Aster Prime Hospital does not offer any sort of employment in exchange for payment of money for any purpose whatsoever. If you receive any similar kind of offer from anyone representing Aster Prime Hospital, please send an email with the intimation and related documents to HR TEAM.

Blogs

Health and fitness tips by expert doctors 

Work Stress

The constant pressure to succeed in today’s environment frequently obscures the true cost, which is our mental health. Long hours and an intense work ethic are acknowledged, but we hardly ever…

Women Work Stress
How much work is too much work? Understanding...
In today’s fast-paced world, workplace burnout has become a silent struggle for ...
27 October 2025
Blood Donation
Aster Volunteers and Aster RV Hospital Organi...
Bengaluru, 8th October 2025: Aster Volunteers Mobile Medical Services (AVMMS), i...
27 October 2025
Blog-images-Tennis-Ball-Revolution-1.jpg
WHY TENNIS BALLS RULE: The Perfect Storm
Unbeatable Advantages: Accessibility: Available everywhere for ₹50 Portabili...
29 September 2025

Understanding Chest Discomfort...
Are you experiencing chest discomfort and seeking clarity on its potential causes? Join us...
Dr. Shyam Sunder K R 29 March 2024
Can young people develop Diabe...
Have you heard the myth that young people cannot develop diabetes? Contrary to popular bel...
Dr S Satish Kumar 29 March 2024
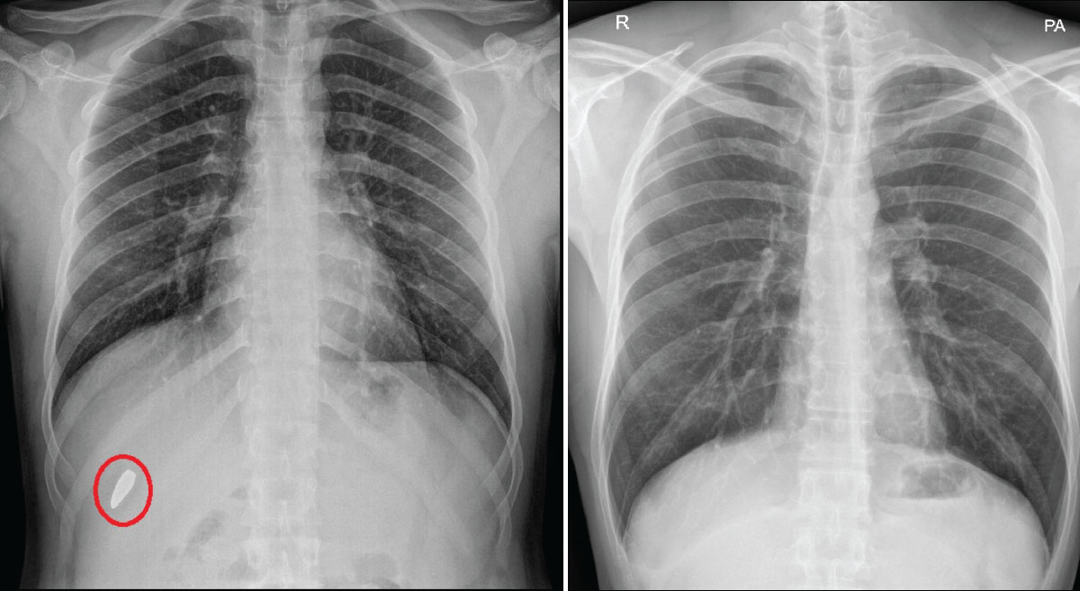
Bullet
Yemeni Patient's Lung Restored...
A rare case of extraction of a bullet from the lungs A rare case of extraction of a bulle...
Dr. Divakar Bhat 28 March 2024

Events

Special camps, health days & celebrations

Heart day

28th September 2025, Bangalore- On the occasion of World Heart Day, Aster RV Hospital

Blog-images-Health-camp.jpg
Aster RV Hospital Organizes Free Multi-Specia...
Bangalore, September 23, 2025, — In a significant step towards extending healthc...
27 September 2025
Tree Plantation
Mega Tree Plantation Drive Held at Hulibele V...
In a significant step toward environmental conservation and community engagement...
26 August 2025
neDNqUDE
Aster Volunteers Mobile Medical Services & As...
Bangalore, June 27, 2025 – Aster RV hospital’s HR Department and Aster Volunteer...
29 July 2025

News

Latest news & happenings at Aster Hospitals - India

Aster-RV-inaugurates-Modern-Police-Outpost-to-Support-Bengalurus-Traffic-police_1-1536x1153.jpeg
Aster RV Hospital Inaugurates Modern Police O...
Bengaluru : In a gesture of appreciation and community partnership Aster RV Hosp...
28 October 2025
intestinal disorder - ILC
Girl Overcome a Rare Intestinal Disorder, Giv...
Case Study Aster RV Hospital undertook the case of a 24-year-old young woman su...
30 July 2025
shutterstock_2373807283.jpg
Aster RV Hospital Successfully Completes over...
Aster RV Hospital and Aster Volunteers have successfully completed 312 camps dur...
17 May 2025

One Aster

Personalized Medical Assistant for all your healthcare needs.
Book instant appointment, pay securely, eConsult with our doctors and save all your health records at one place are some of the benefits of OneAster App. It is everything you need, to manage your family Health.

barcode

Scan QR Code To Download

* Registration available only for valid Indian mobile number